martes, 23 de noviembre de 2010

PARASITO SANGUÍNEO ANAPLASMA Y TRIPANOSOMA

 
AGENTE ETIOLOGICO
La tripanosomiasis bovina es una enfermedad parasitaria crónica caracterizada clínicamente por caquexia progresiva, fiebre intermitente, anemia y trastornos de la locomoción.
Su agente etiológico, el Trypanosoma vivax ZIEMANN


La anaplasmosis de los bovinos es una enfermedad infecciosa producida por Anaplasma marginale, rickettsia perteneciente al genogrupo II del complejo Ehrlichial, que parasita únicamente los eritrocitos maduros, produciendo anemia hemolítica, pérdida de producción, abortos y muerte. Es transmitida en forma natural por dípteros hematófagos, garrapatas además de las vías iatrogénica y congénita.
La anaplasmosis bovina está ampliamente distribuida en áreas tropicales y subtropicales del mundo donde causa severas pérdidas económicas a los sistemas de producción de leche y de carne. Es considerada una enfermedad en expansión hacia áreas templadas del mundo. En nuestro país el área de ocurrencia de la  de latitud sur, aunque su°enfermedad, se encuentra al norte del paralelo 33 distribución no es uniforme. Esta zona incluye aproximadamente 22 millones de bovinos. Al sur de este límite ocurren brotes esporádicos de anaplasmosis, debido al traslado de bovinos infectados desde el norte del país a zonas libres de la enfermedad. En 1994 en Argentina se estimaron en US$ 12 millones las pérdidas directas causadas por la anaplasmosis en zonas enzoóticas.



CARACTERISTICAS
La enfermedad se caracteriza por hipertermia, palidez de las mucosas, ictericia, aborto y muerte. En los casos más graves se observan síntomas nerviosos por anoxia cerebral y tendencia al decúbito. La orina puede ser oscura debido a los pigmentos biliares, pero no se observa hemoglobinuria. En vacas en lactancia se registra un marcado descenso de la producción láctea que junto a la disminución del apetito son generalmente las primeras manifestaciones que se observan.
Durante la necropsia se observa espleno y hepatomegalia, repleción de la vesícula biliar, y esporádicamente puede haber ruptura de bazo, con la formación de un gran coágulo abdominal. Lesiones degenerativas del parénquima hepático, esplénico y renal se observan mediante el análisis histopatológico y es característico el acumulo de hemosiderina.
Los bovinos que se recuperan de la etapa aguda permanecen infectados persistentemente. Las técnicas de biología molecular, permitieron demostrar que en portadores crónicos de A. marginale se producen ciclos continuos de ricketsemia con intervalos aproximados a 5 semanas. Éstas alcanzan valores que oscilan entre el 0,1% y 0,0000001% o menores, de eritrocitos parasitados.

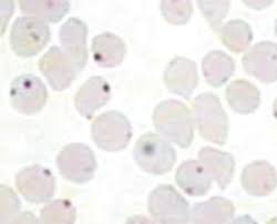
MORFOLOGÍA Y FUNCIONALIDAD

Estos microorganismos se presentan en formas bacilares, cocoides o pleomórficas, presentando paredes típicas de bacterias gramnegativas con ausencia de flagelos. Las formas bacilares son cortas, mientras que las cocoides se presentan aisladas, en pares, cadenas cortas o en filamentos).
Estas bacterias tienden a ser muy pequeñas, teniendo un diámetro de 0.3 a 0.5 um. y una longitud de 0.8 a 2.0 um. Estos agentes teñidos son fáciles de visualizar con el microscopio de luz. Con la tinción de Giemsa muestran color azul, con la de Macchiavello color rojo en contraste con el citoplasma teñido de azul que las rodea

 AFECTA
ADP por ATP de la célula hospedero, de tal forma que la célula puede aportar gran parte de la
energía necesaria para el crecimiento intracelular.
Según las investigaciones por (Poitut et al,2005) y ( Hoyos, 2005) las especies de anaplasma que se han encontrado en caninos son Anaplasma phagocytophilum y Anaplasma platys. La A. phagocytophila afecta principalmente perros, ovejas, bovinos, visones y humanos e infecta a neutrófilos, eosinófilos y monocitos. Y la A. platys afecta naturalmente a perros e infecta únicamente plaquetas; sin embargo las dos especies pueden llegar a infectar eritrocitos, leucocitos y plaquetas. Este género presenta mórulas no fibrilares y las mitocondrias así como el retículo endoplasmático no contactan con la membrana de la mórula


PATOGENIA
La patogénesis principalmente se da por la destrucción de células infectadas por la replicación de la bacteria. La destrucción endotelial resulta de un escape de sangre y un subsecuente daño tisular de los órganos y una pérdida de sangre en estos espacios. La respuesta inmunitaria es importante par la recuperación en la infección

No hay comentarios:

Publicar un comentario